Programs
Tuberculosis
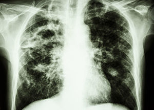
Tuberculosis (TB) is a serious disease spread through the air (usually from sneezing or coughing) from one person to another and usually affects the lungs, although can attack any part of the body.

Programs
Tuberculosis (TB) is a serious disease spread through the air (usually from sneezing or coughing) from one person to another and usually affects the lungs, although can attack any part of the body.
